TEST

Gynäkologische Zytologie

*“ zeigt erforderliche Felder an

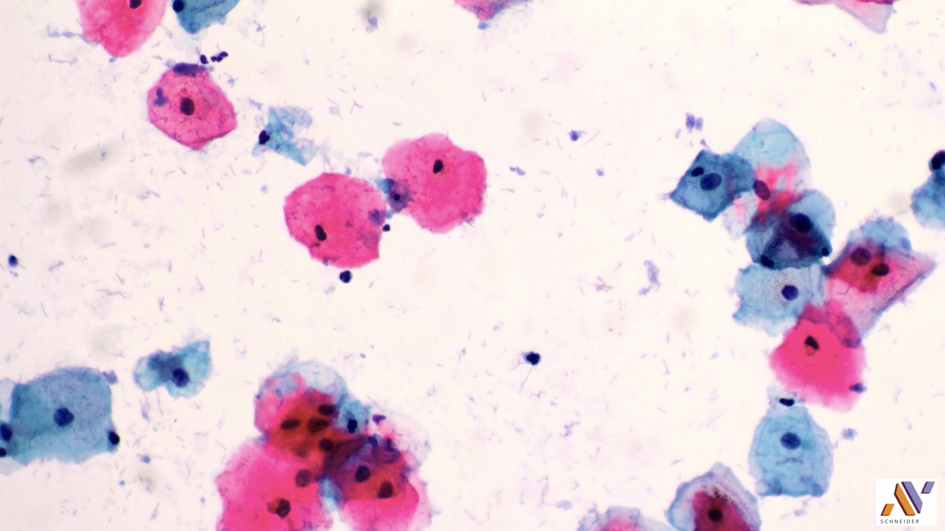
1) Welche Diagnose ist richtig? (Zytologische Klassifikation München 3)*
2) Welche Diagnose ist richtig? (Zytologische Klassifikation München 3)*
3) Welche Diagnose ist richtig? (Zytologische Klassifikation München 3)*
4) Welche Diagnose ist richtig? (Zytologische Klassifikation München 3)*
5) Welche Diagnose ist richtig? (Zytologische Klassifikation München 3)*
6) Welche Diagnose ist richtig? (Zytologische Klassifikation München 3)*
7) Welche Diagnose ist richtig? (Zytologische Klassifikation München 3)*
8) Welche Diagnose ist richtig? (Zytologische Klassifikation München 3)*
9) Welche Diagnose ist richtig? (Zytologische Klassifikation München 3)*
10) Welche Diagnose ist richtig? (Zytologische Klassifikation München 3)*
11) Welche Diagnose ist richtig? (Zytologische Klassifikation München 3)*
12) Die Inzidenzrate für Zervixkarzinom lag in den 1970er Jahren bei etwa*
13) Die KI unterstützte Analyse zytologischer Abstriche*