TEST

Vulva Präkanzerosen und Differentialdiagnose

*“ zeigt erforderliche Felder an

1) Zu den Präkanzerosen der Vulva gehört nicht*
2) Zu den Präkanzerosen der Vulva gehört auch nicht*
3) d-VIN der Vulva ist*
4) HSIL und Karzinome der vorderen Kommissur haben in den letzten 2 Jahrzehnten*
5) Der Anstieg der Inzidenz von HSIL der Vulva in den letzten Jahrzehnten betrifft v.a. Frauen*
6) 48-jährige G5 P2, seit 1 Jahr Epitheldefekt subklitoral, Schmerzen und Pruritus. Kein Effekt auf Lokalbehandlung, 15 Zigaretten pro Tag. Mittels immunhistochemischer Färbung für p16 und Ki 67 werden beide Marker in der gesamten Epithelbreite exprimiert. Wie lautet die Diagnose dieser Vulvaerkrankung?*
7) 81-jährige G2 P1mit einer Erosion subklitoral seit 6 Monaten. Die Patientin ist oligosymptomatisch, nur gelegentliches Brennen wird bemerkt. Mittels immunhistochemischer Färbung für p16 und Ki 67 wird nur Ki 67 über die gesamte Epithelbreite exprimiert. Wie lautet die Diagnose dieser Vulvaerkrankung?*
8) 47-jährige G1 P1 mit Leukoplakie am Introitus vaginae und Brennen. Bisher ohne Therapie. Die immunhistochemische Färbung der Biopsie für p16 und Ki 67 zeigt eine Expression bis ins obere Epitheldrittel. Was ist die Diagnose dieser Vulvaerkrankung?*
9) 87-jährige G2 P2 mit Pruritus und Brennen vulvär rechts seit ca. 1 Jahr. Von der Frauenärztin wurde eine Leukoplakie diagnostiziert; lokale Therapie mit Sobelin u. Deumavan ergibt subjektiv Besserung. Vor 14 Jahren Mamma-Ca links mit BET+SLN+ Radiatio therapiert, dann Aromatasehemmer für 5 Jahre, Z. n. HE bei CIN vor 28 Jahren. Stark verhornendes mehrschichtiges Plattenepithel mit basal und transepithelial sich ausschleusenden rundlichen epithelialen Zellen mit immunhistologischer Expression von CK7. Um welche Präkanzerose der Vulva handelt es sich?*
10) Wann sollte eine Stanzbiopsie der Vulva erfolgen?*
11) Die gynäkologische Routine-Untersuchung umfasst nicht die Inspektion von*
12) HSIL der Vulva ist anamnestisch oder aktuell am häufigsten assoziiert mit*
13) Die Biopsie einer Vulvaläsion erfolgt mittels*
14) Die vulvoskopische und histologische Bildgebung einer Patientin sollte*
15) Rezidive sind häufiger bei*
16) Die Nachkontrolle bei Frauen nach HSIL der Vulva erfolgt*
17) Der extramammäre Morbus Paget der Vulva*
18) Die Effektivität der nonovalenten HPV Impfung gegen HSIL der Vulva beträgt*
19) Wenn Sie ein Vulvakarzinom diagnostizieren*
20) Für das kavernösen Hämangiom der Vulva trifft zu*
21) Bei Herpes genitalis trifft nicht zu*
22) Für Molluscum contagiosum trifft zu*
23) Für Lichen planus trifft nicht zu*
24) Morbus Hailey Hailey*
25) Die vestibuläre Papillomatose*
26) Condylomata acuminata*
27) Das Basalzellkarzinom der Vulva*
28) Für Lichen sclerosus der Vulva trifft nicht zu*
29) 62-jährige G1 P1, Pruritus im Bereich des Scheideneingangs nicht ansprechend auf topische Behandlung mit Linoladiol HN. In der Stanzbiopsie Hyperkeratose, Akanthose, verstrichene Reteleisten sowie im Stroma homogene Sklerose und bandförmiges lymphohistizytäres Infiltrat. Wie lautet die Diagnose dieser Vulvaerkrankung?*
30) 64-jährige G2 P3. Ulcerierender Tumor am Präputium der Klitoris bei Vorsorge aufgefallen. Die Biopsie aus dem exulzerierten Areal ergibt histopathologisch ein von massenhaft Plasmazellen und einigen Lymphozyten und neutrophilen Granulozyten durchsetztes Stroma. Das Plattenepithel ist größtenteils abgelöst. Wie lautet die Diagnose dieser Vulvaerkrankung?*
31) 39-jährige G0, seit ca. 1 Jahr Veränderung bei 1-2 Uhr bemerkt, aktuell an Größe zunehmend. Keine Beschwerden. Die Biopsie zeigt eine unterschiedlich stark akanthotisch verbreiterte Epidermis mit Hyper- und Parakeratose. Im Stroma (hier nicht gezeigt) dichte Infiltrate aus Lymphozyten, wenigen Plasmazellen, Histiozyten und vereinzelten eosinophilen Granulozyten. Die Keratinozytenkerne zeigen teilweise entmischtes Chromatin und prominente Nukleolen. Wie lautet die Diagnose dieser Vulvaerkrankung?*
32) 50-jährige G2P2 mit rezidivierenden Bläschen in der Rima ani, die mit Pruritus und Schmerzen einhergehen und als Ulzera nach wenigen Tagen abheilen. Was ist die Ursache dieser Ulcera in der Rima ani?*
33) 76-jährige G1 P1 mit leukoplakischem Befund, der seit mehreren Wochen unter Lokalbehandlung mit Östrogenen unverändert ist. Die Patientin hat geringe Beschwerden. Es besteht Zustand nach abdominaler Hysterektomie ohne Adnexe vor 26 Jahren bei gutartigem Befund und Zustand nach Mammakarzinom rechts vor 12 Jahren bei einem Tumordurchmesser von ca. 3 cm pT2 pN0, Hormonrezeptor negativ. Es erfolgte die brusterhaltende Therapie und Lymphonodektomie sowie die Chemotherapie mit 4 Zyklen und die Radiotherapie. Eine Biopsie aus der Läsion zeigt eine Parakeratose und die Epithelzellen p16 & Ki67 positiv bis ins mittlere Drittel. Wie lautet die Diagnose dieser Vulvaerkrankung?*
34) 72-jährige G1P1, seit ca 4 Wochen derbe Hautveränderung an den kleinen Labien, subjektiv nur intermittierender Pruritus, bisher keine spezifische Behandlung. In der Stanzbiopsie Hyperkeratose, Akanthose, verstrichene Reteleisten sowie im Stroma homogene Sklerose. Wie lautet die Diagnose dieser Vulvaerkrankung?*
35) 63-jährige G2 P2 bei der bei Vorsorgeuntersuchung eine Veränderung am Ansatz der rechten kleinen Labie aufgefallen war. Die Patientin hat keine Beschwerden. Die Biopsie zeigt histologisch eine ausgeprägte Hyperkeratose und atypische Zellen in zwei Drittel der Epithelbreite mit deutlich veränderter Kern-Plasmarelation. Wie lautet die Diagnose dieser Vulvaerkrankung?*
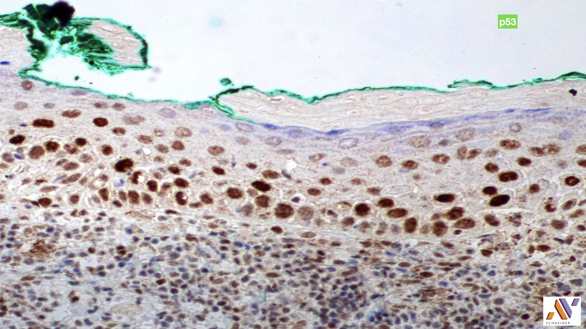
36) 67-jährige G0 mit Brennen und Pruritus im Bereich des linken Scheideneingangs seit ca. 1 Jahr. In der Biopsie erkennt man eine Expression von p16 und Ki67 bis ins obere Epitheldrittel. Ebenso ist auch immunhistochemisch eine p53 Mutation bis ins obere Epitheldrittel nachweisbar. Wie lautet die Diagnose dieser Vulvaerkrankung?*
">
37) 68-jährige G0 P0, bei Vorsorge leukoplakische Areale der Vulva aufgefallen, keine Beschwerden, vor 1 Jahr aktinische Keratose an Stirn und Lippe. In der Stanzbiopsie Hyperkeratose, Akanthose, verstrichene Reteleisten sowie im Stroma homogene Sklerose. Wie lautet die Diagnose dieser Vulvaerkrankung?*
38) 34-jährige G2 P2. Z. n. Konisation vor 10 Jahren, Z. n. VIN 3 und VAIN 3 vor 5 Jahren, mit Lasertherapie behandelt, aktuell erneut V. a. VIN in der 36. SSW und Z. n. Spontangeburt vor 8 Wochen. Keine Beschwerden. Immunhistochemisch sind in der Biopsie p16 und Ki67 bis ins obere Epitheldrittel exprimiert. Wie lautet die Diagnose dieser Vulvaerkrankung?*
39) 77-jährige G1 P1 mit seit Wochen schmerzhafter Läsion subklitoral, bei V. a. Herpes genitalis antivirale Therapie ohne Erfolg. In der Biopsie zeigen sich atypische Epithelzellverbände mit Verhornungsinseln. Wie lautet die Diagnose dieser Vulvaerkrankung?*
40) 34-jährige G0, Z. n. Laservaporisation einer HSIL der Vulva vor 1 Jahr, keine Beschwerden. In der Biopsie Nachweis von p16 und Ki67 durch die gesamte Epithelbreite. Wie lautet die Diagnose dieser Vulvaerkrankung?*
41) 71-jährige G3 P1 mit Pruritus seit ca. 5 Jahren. Anwendung von Tannolact bringt keine wesentliche Besserung. In der Biopsie ausgeprägte Orthohyperkeratose bei sonst regulärer Ausdifferenzierung. Wie lautet die Diagnose dieser Vulvaerkrankung?*
42) 51-jährige G2 P2 mit neu aufgefallener Veränderung der Vulva ohne Beschwerden. In der Biopsie werden immunhistologisch p16 & Ki67 bis ins obere Epitheldrittel exprimiert. Wie lautet die Diagnose dieser Vulvaerkrankung?*
43) 72-jährige G2 P2 mit seit mehreren Jahren Pruritus sowie manchmal Brennen. Besserung der Beschwerden unter Deumavan. Therapieversuch mit Ecural 2x wöchentlich ohne Besserung. Nach Anwendung einer Klasse IV Corticoid Creme Schmerzen und vermehrter Fluor, nach 4 Tagen abgesetzt. Linoladiol HN nicht vertragen. Mittels immunhistochemischer Färbung für p16 und Ki 67 exprimiert die Biopsie in allen Zelllagen beide Marker. Wie lautet die Diagnose dieser Vulvaerkrankung?*
44) 23-jährige G0 mit Vulvaläsionen seit mehreren Wochen. Bisher keine Behandlung, keine HPV Impfung. Wie lautet die Diagnose dieser Vulvaerkrankung?*
45) 42-jährige G1 P1 mit Schmerzen im Bereich der vorderen Kommissur seit mehreren Monaten. Bisher keine spezifische Behandlung. Man erkennt p16 und Ki67 exprimierende atypische Zellverbände. Wie lautet die Diagnose dieser Vulvaerkrankung?*
46) 22 Jahre, Gravida: 0; letzte Menstruation: 31.5.23; Keine HPV Impfung erhalten; Allergien: Pollenallergie; Nikotin: nein; Kontrazeption: Pille; Kinderwunsch: nein; VE: leer; OP: laparoskopische Cholezystektomie; Medikamente: keine. Vulvaulcus seit ca. 2 Monaten, größenprogredient, leicht schmerzhaft, kein Pruritus. Innenseite Labium majus rechts ca. 6mm durchmessender, runder, derber, scharf begrenzter Knoten mit zentraler Ulzerierung mit diskreter Essigreaktion. Introitus 5h plane, runde, scharf begrenzete Leukoplakie ohne wesentliche Essigreaktion. Perianal bei 12h Mariske mit Leukoplakie und diskreter Essigreaktion. Nach Desinfektion mit Octenisept-Eiswürfel und LA mit 1%-ig Mepivacain erfolgt die 3mm Stanzbiopsie der Läsion bei 5h am Introtitus, Blutstillung mittles Monsel. Die Läsion am Labium majus rechts wird mit der 7mm Stanze in toto entfernt, Naht mittels zwei Einzelknöpfen Vicryl. Die Läsion an der Mariske wird vollständig mit der Biopsiezange entfern, Blutstillung ebenfalls mit Monsel. Es findet sich eine plasmazellreiche Entzündung mit Nachweis zahlreicher Spirochäten in der treponemalen immunhistochemischen Färbung. .Vulvaresektat mit kräftiger plasmazellreicher chronischer und ulzerierender Entzündung sowie immunhistochemischen Nachweis von Treponema pallidum. Keine Dysplasie. Keine Pilze. Lokalisation: Labium majus rechts Immunhistochemischen Nachweis von Treponema pallidum macht Spirochäten sichtbar Wie lautet die Diagnose dieser Vulvaerkrankung?*
47) 66-jährige G2 P2. Es besteht seit ca. 20 Jahren ein „Nävus“ an der Vulva links. Dieser ist im Laufe der Jahre etwas größer geworden, allerdings nicht in letzter Zeit. Nachweis atypischer Melanozyten junktional und bis in mittlere Epidermislagen. Basal und vereinzelt transepidermale Migration von Melanozyten (Melan A-positiv angefärbt). Wie lautet die Diagnose dieser Vulvaerkrankung?*
48) 72-jährige G3 P3. Seit 2 Wochen 1 cm großes, schmerzhaftes Ulcus links neben dem Präputium der Klitoris. Die Behandlung mit Tannolact Sitzbäder und Clobetasol war erfolglos. Bei der Patientin besteht Z.n. Mammakarzinom 2002 rechte Brust, 2007 linke Brust. In der Biopsie Ulcus mit Fibrinbelag. Im Stroma zahlreiche Lymphozyten, in geringerer Anzahl Plasmazellen und einige neutrophile Granulozyten. Wie lautet die Diagnose dieser Vulvaerkrankung?*
49) 61-jährige G1P1 mit auffälligem Befund der Vulva, seit ca. 4 Monaten Brennen und Beschwerden. Atypisch imponierende Plattenepithelien mit deformierten Zellkernen und Verhornungsarealen. Was ist die wahrscheinlichste Diagnose dieser Vulvaerkrankung?*
50) Was ist für die behandelnden Ärztinnnen/Ärzte bei der Behandlung von Frauen mit Vulvaerkrankungen am wichtigsten*